Harshada Lanjekar*, Swati Kolhe, Sachin Tembhurne
Department of Pharmacology, AISSMS College of Pharmacy, Pune-411001 India
*Address for Corresponding Author
Harshada Lanjekar
Department of Pharmacology, AISSMS College of Pharmacy, Pune-411001 India
Abstract
Objective: The present work was carried out to evaluate the effect of clove oil for enhancing thyroid function. Material and methods: Wistar rats received propylthiouracil at a dose 0.3mg/kg/bw (orally) daily for 21 days as pretreatment for induction of hypothyroidism and after induction treated with clove oil emulsion at dose 100, 200 and 300 mg/kg (orally) daily for 21 days. All animals were observed throughout the whole experiments and note down body weight of each animal once in week. Blood samples were taken before and after treatment and hormonal level assay was performed. Histopathological analysis was also assessed. Results and conclusion: Significantly increase value of T3, T4 and compared with control, standard and test value. Histopathological changes were observed with few vacuolation. It was concluded that clove oil emulsion plays vital role on propylthiouracil (PTU) induced hypothyroidism by enhancing thyroid functions in experimental wistar rats.
Keywords: Propylthiouracil (PTU), clove oil, emulsion, hypothyroidism
Introduction
Human body is made up of five basic elements (PANCHMAHABHOOT). These elements revolve around the normal functioning of the body (Physiology), Occurrences of disease (Pathology), Action of drugs on various parts of body (Pharmacokinetics). Imbalance between them complications can be occurred. So, any disorders can be raised by imbalance between these 5 elements and by balancing these elements these problems can be cured (Holloway et al., 2004).
Endocrine System is one of the largest systems in human body; it is controlled by Pituitary Gland. It produces various hormones which are secreted directly into blood stream & these are chemical signaling molecules (Larsen et al., 1973). Thyroid gland is part of endocrine system. It is most important hormonal gland which produces thyroid hormones and it plays major role to regulate various body functions like metabolism, growth, development, temperature digestive functions etc. Now a day’s thyroid disorders are growing rapidly (Pantos et al., 2003). It becomes serious health issue. It is a general term representing several different diseases involving thyroid hormones and the thyroid gland (Abrams and Larsen, 1973).
In India 42 Million people have thyroid disorders like hypothyroidism and it is most common thyroid disorders. The prevalence of thyroid dysfunctions varies by age, sex, and geographically through variations in dietary iodine intake. Thyroid disorders are more common in women than men, and in older adults compared with younger age groups (Greer, 1968). Abnormal thyroid function has important ramification on health outcomes mostly seen in older adults including cardiovascular disease, myocardial infarction, bone health, mental health. Many factors affect normal level of thyroid hormones which leads to complications in thyroid functions. It arises due to excessive thyroid hormones productions or not enough (Shahi et al., 2018).
Complications are hypothyroidism, hyperthyroidism, goiter, hashimoto’s disease, Graves’ disease etc. Iodine deficiency & autoimmune inflammation is one of the most common causes of thyroid disorders. Treatments of thyroid complications depend upon its symptoms and severity (White, 2015). Hormonal replacement therapy is most commonly used long term treatment. Many modern medicinal therapies and medicines are available for the treatment of this disease but in these cases re-occurrence rate is high. Side effects like nausea, vomiting, hair loss, weight loss, bone pain, diarrhea or sometimes severe side effects seen (Claire et al, 2004), So, traditional herbal remedies regarded as safe and cost effective. A high percentage of medicinal plants have pharmacological properties. So, according to WHO, traditional medicine won the trust of 70-80% of people in primary health care. Essential oils are aromatic, volatile liquids obtained from plant materials like stem, buds, flowers, leaf through steam distillation.
Clove (Eugenia caryophyllus) belongs to family myrtle & its small brown reddish flower buds which are used as a spice. It is a native of Indonesia but now a day is cultured in several parts of world including Brazil in the state of Bahia. Clove oil is an essential oil produced by steam distillation of cloves (Eugenia caryophyllus) and it is a great source of phenolic compounds such as eugenol together with several other terpenoids (Kamatou et al., 2012). It is a mixture of constituents of many compounds like tannin, gallicacid, beta-caryophyllene, flavonoids, oleanolic acid and etc. Eugenol is main active constituents which are known to natural antioxidant. Clove in particular has attracted the attention due to potent antioxidant standing out among the other species. clove oil possessesantioxidant activity (Marchese et al., 2017).
The scientific literature strongly supported for its anti- inflammatory, antiseptic, anti-diabetic, antiviral activities and also helps to improve blood circulations, respiratory disorders, increases libido, used in many therapeutic effects like dental care (Ansari and Ali, 2009). European hospitals use clove to treat viral hepatitis, bacterial colitis, hypertension, thyroid dysfunction, and fatigue. Antioxidant treatment might be helpful in reducing the oxidative damage due to hypothyroidism &hyperthyroidism (Abubakar et al., 2017). It is stress relief also, so it helps to increase hormonal synthesis and improve hormonal imbalance by creating an environment where the body is able to produces hormones it need to heal itself. Despite the progress in clove oil research in last decades the biological and physiological effects of clove oil still need more investigation (Iversen et al., 2003), So it is based on extensive study performed on Clove oil, this essential oil selected for future study. The aim of this study was to evaluate pharmacological action of clove oil emulsion for enhancing thyroid functions.
Materials and method
Chemicals and reagents
Propylthiouracil (PTU) is purchased from Macleods Pharmaceutical Ltd; Clove oil is purchased from Oswal Chemicals, Pune. Eugenol (45%) is obtained from clove oil by steam distillation. Chloroform, Ether, Formaldehyde, Thyroxine, Saline, Sodium alginate and Tween 80 is obtained from SD Lab. Mumbai.
Animalsprotocol
Wistar rats of either sex weighing 200-250g were used as the animal model in the experiment (Bhokare and Babanrao, 2016). The animals were provided by central animal house facility of AISSMS College of Pharmacy, Pune, India. Animals were housed in a group of six in well ventilated polypropylene cages with husk beds at an ambient temperature 25±2˚C and relative humidity with 12 h light and dark cycle. They had free access to pellet chow and 60-65% water ad libitum. The experimentations on animals were approved by the Institutional Animals Ethics Committee (IAEC) under the regulation of committee for the purpose of Control and Supervision of Experiments on Animals (CPCSEA), New Delhi, India. All the experiments were carried out between 9:00-14:00h.
Study of clove oil emulsion on propylthiouracil induced hypothyroidism.
Animals were randomly divided into 5 groups containing 6 animals each groups 1 was taken as normal control. Groups 2,3,4,5 were treated by PTU 0.3mg/kg/bw orally for 3 weeks. Group 2 treated as standard group with thyroxine 0.2mg/kg/bw administered orally. Groups 3,4 ,5 were taken as test group in which clove oil emulsion were administered in dose of 100, 200, 300mg/kg, respectively for 3 weeks (Ritter et al. 2004). All animals observed throughout whole experiments and note down body weight of each animal once a week. Hormonal level accessed in laboratory by CLIA method.
Biochemical Parameters
Blood was collected from experimental rats by retro-orbital using anesthesia (diethyl ether) and analyzed different biochemical parameters (Herck et al., 2001).
Thyroid Hormones Test: T3, T4, were analyzed in serum of experimental rats by CLIA method (Meibodi et al., 2012).
T3 Test: Blood sample was collected by retro-orbital (RO) using an aesthesia by diethyether and serum separated by centrifugation after that sample was given for laboratory testing to find out tri-iodothyronine (T3) present experimental rats (Bovill, 2008).
T4 test: Blood sample was collected by retro-orbital (RO) using an aesthesia by diethyether and serum separated by centrifugation, after that sample was given for laboratory testing to find out T4 present in experimental rats (Bovill, 2008).
Histopathological examination
At the end of the experiments animals were sacrificed, thyroid glands of rats were dissected out weight of gland was taken and fixed in buffer solution and then embedded in paraffin after usual processing sample given for testing.
Statistical Analysis
The values were expressed as mean ± SEM. Spontaneous alteration were assessed using one-way analysis of variance (ANOVA) followed by Turkey’s multiple comparisons test (Keselman and Rogan, 1978).
Results and discussion
Pharmacological evaluation of clove oil emulsion against propylthiouracil induced hypothyroidism in wistar rats was investigated using biochemical assessment. In present investigation, PTUsignificantly reduced T3, T4 level in blood is shown in figure 1. When groups treated with clove oil emulsion improves T3, T4 level in blood along with standard thyroxine (0.2mg/kg) these results suggested that clove oil emulsion helpful for enhancing thyroid functions is shown in figure 2. To elucidate the underlying mechanism of thyroid function enhancing effects of clove oil emulsion, antioxidant activity plays important role.

Figure 1. Effect of Clove oil emulsion on thyroid hormone (T3) of experimental rats. Values expressed as mean ± SEM. (One-way ANOVA test) Control no treatment standard low medium high 0, 2, 4, 6 and 8ng/nl in T3 level group.

Figure 2. Effect of Clove oil emulsion on thyroid hormone (T4) of experimental rats. Values expressed as mean ± SEM. (One-way ANOVA test) Control no treatment standard low medium high 0, 10, 20, 30 and 40, mcg/dl in T4 level group.

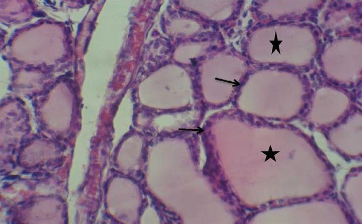
Figure 3. Thyroid gland of control rat shows normal architecture, thyroid follicle with colloids (star) and lined by cuboidal thyrocytes (thin arrow)

Figure 4. Thyroid gland of female rat treated with clove oil emulsion (medium dose) shows size difference in thyroid follicles (arrow) and some of follicles with vacuolated colloid (star)
Clove oil is an essential oil and it is a great source of phenolic compounds such as eugenol together with several other terpenoids. Eugenol is main active constituents which are known to natural antioxidant. Clove in particular has attracted the attention due to potent antioxidant standing out among the other species is appear in figure 3. Antioxidant treatment might be helpful in reducing the oxidative damage due to hypothyroidism & hyperthyroidism. It is stress relief also, so it helps to increase hormonal synthesis and improve hormonal imbalance by creating an environment where the body is able to produces hormones it need to heal itself. The scientific literature strongly supported for its anti-oxidant activity and according to our histological observation when administered clove oil emulsion to female rat no histological changes when compared with the control except some of the follicles enlarged and vacuolated colloid as appear from figure 4. So this attributed to increase endocytotic activity of many follicular cells and release of the stored hormones. The significantly increases these levels in treatment group is observed. So, all these results indicate that oral administration of clove oil emulsion enhances thyroid function in hypothyroid wistar rats.
Conclusion
The findings in Present study show that clove oil emulsion is effective in enhancing thyroid functions. Potent antioxidant effect of clove oil on PTU induced hypothyroidism suggests that they may be viable candidate for the treatment of thyroid diseases like hypothyroidism.
Acknowledgment
I am equally grateful to Dr. Ashwini Madgulkar, Principal of AISSMS College of Pharmacy, Kenndy, Pune 411001s, for her valuable suggestions and provision for necessary facilities at each and every stage of my project work. It gives me great pleasure to place on record my deep sense of my gratitude to my project guide Mrs. Swati Kolhe and Dr. Sachin Tembhurne for their encouragement and scientific temperament.
Author contributions
The authors have accepted responsibility for the entire content of this submitted manuscript and approved submission.
Research funding
No funding involved
Ethical approval
The conducted research study is related to small laboratory animal, wistar rat use. The animals were provided by central animal house facility of AISSMS College of Pharmacy, Pune, India. The experimentations on animals were approved by the Institutional Animals Ethics Committee (IAEC) under the regulation of committee for the purpose of Control and Supervision of Experiments on Animals (CPCSEA), New Delhi, India.
Conflict of interest
None
Author contributions
The authors have accepted responsibility for the entire content of this submitted manuscript and approved submission.
References
Abrams GM, Larsen PR. 1973. Triiodothyronine and Thyroxine in the serum and thyroid glands of iodine deficient rats. Journal of Clinical Investigation 52(10): 2522–31.
Abubakar A, Yusuf T, Aliyu M, Umar D. 2017. Modulatory Roles of Clove and Fermented Ginger Supplements on Lipid Profile and Thyroid Functions in High Fat Diet Induced Insulin Resistance in Rabbits. Asian Journal of Medicine and Health, 8, 1-9.
Bhokare KH, Upaganlawar A, Upasani CD. 2016. Alcoholic extract of Banaba leaf prevents chronic con-striction injury induced neuropathic pain in experimental animals. Annals of Medical and Biomedical Sciences, 2(1): 4–8.
Bovill JG. 2008. Inhalation Anaesthesia: From Diethyl Ether to Xenon. Handbook of Experimental Pharmacology, 182: 121–42.
Claire Benton E, Michael J. Tidman. 2004. Cutaneous Complications. Late Effects of Childhood Cancer: 321–31.
Greer MA, Grimm Y, Studer H. 1968. Qualitative Changes in the Secretion of Thyroid Hormones Induced by Iodine Deficiency. Endocrinology 83(6): 1193–98.
Herck HV, Baumans V, Brandt C, Boere HA, Hesp A, Lith HV, Schurink M, Beynen A. 2001. Blood sampling from the retro-orbital plexus, the saphenous vein and the tail vein in rats: comparative effects on selected behavioural and blood variables. Laboratory Animals, 35: 131 - 139.
Holloway A, Keene JL, Noakes DL, Moccia R. 2004. Effects of clove oil and MS?222 on blood hormone profiles in rainbow trout Oncorhynchus mykiss, Walbaum. Aquaculture Research, 35:1025-1030.
Iversen M, Finstad B, McKinley R, Eliassen R. 2003. The efficacy of metomidate, clove oil, Aqui-S? and Benzoak? as anaesthetics in Atlantic salmon (Salmo salar L.) smolts, and their potential stress-reducing capacity. Aquaculture, 221:549-566.
Pramod K, Ansari S, Ali J. 2009. Herbal Remedies for the Treatment of Periodontal Disease - A Patent Review. Recent Patents on Drug Delivery & Formulation 3(3): 221–28.
Kamatou G, Vermaak I, Viljoen A. 2012. Eugenol? From the Remote Maluku Islands to the International Market Place: A Review of a Remarkable and Versatile Molecule. Molecules, 17:6953 - 6981.
Keselman HJ, Joanne C. Rogan. 1978. A Comparison of the Modified-Tukey and Scheffé Methods of Multiple Comparisons for Pairwise Contrasts. Journal of the American Statistical Association 73(361): 47–52.
Larsen P Yamashita K, Dekker A, Field J. 1973. Biochemical observations in functioning human thyroid adenomas. The Journal of clinical endocrinology and metabolism, 36(5):1009-18.
Marchese A, Barbieri R, Coppo E, Orhan I, Daglia M, Nabavi SF, Izadi M, Abdollahi M, Nabavi S, Ajami M. 2017. Antimicrobial activity of eugenol and essential oils containing eugenol: A mechanistic viewpoint. Critical Reviews in Microbiology, 43: 668 - 689.
Meibodi ES, Azizi MD, Paknejad M, Larijani B, Omidfar K. 2012. Development of an enhanced chemiluminescence immunoassay (CLIA) for detecting urinary albumin. Molecular Biology Reports, 39:10851-10858.
Pantos C, Malliopoulou V, Mourouzis I, Sfakianoudis K, Tzeis S, Doumba P, Xinaris C, Cokkinos A, Carageorgiou H, Varonos D, Cokkinos D. 2003. Propylthiouracil-induced hypothyroidism is associated with increased tolerance of the isolated rat heart to ischaemia-reperfusion. The Journal of endocrinology, 178(3): 427-35.
Ritter AL, Ritter A, Murrah V, Sigurdsson A, Trope M. 2004. Pulp revascularization of replanted immature dog teeth after treatment with minocycline and doxycycline assessed by laser Doppler flowmetry, radiography, and histology. Dental traumatology, 20(2):75-84.
Shahi A, Vss P, Imam SS, Muheem A, Jahangir M. 2018. Pathophysiological Ramifications of Diabetic Condition: A Review. Asian Journal of Biomedical and Pharmaceutical Sciences, 8:28-38.
White ROYA. 2015. Complications of thyroid surgery, Oliver H. Beahrs, M.D., Robert F. Ryan, M.D.f and Roy A. White, M.D.F. (November 2015).