Mayuri Gurav*, Satish Bhise, Snehal Warghade
Smt. Kashibai Navale College of Pharmacy (Savitribai Phule Pune University), Kondhwa, Pune 411048, M.S., India.
*Corresponding author
Mayuri V. Gurav
Department of Pharmacology, Smt. Kashibai Navale College of Pharmacy, Kondhwa, Pune 411048, M.S., India.
Abstract
Objective: The aim of the present study was to investigate the role of Quercetin in beta cell regeneration in vitro and in vivo. Methods: The research work was initiated with in vitro experiment wherein 3-(4, 5-dimethylthiazol-2-yl) -2, 5-diphenyltetrazolium bromide (MTT) assay was performed using the MIN6 cell line. In vivo study was performed in Streptozocin-induced diabetic Wistar rats and Quercetin (QE) was administered orally in three doses (25, 50, 100 mg/kg). Body weights, serum insulin, blood glucose were measured. At the end of the study animals were sacrificed and histological examination was carried out which included normal histopathology, immunohistochemistry and 5-Bromo-2'-deoxyuridine (BrdU) cell proliferation assay. Results: Streptozocin damaged MIN6 cells showed significantly (P < 0.001) higher viabilities after administration of QE (10μg/ml). QE administration significantly (P < 0.0001) increased body weights as compared to Diabetic Control (DC) group. Administration of QE (50mg/kg) and QE (100mg/kg) significantly (P < 0.0001) decreased fasting blood glucose level and significantly (P < 0.001), (P < 0.0001) increased serum insulin level as compared to DC group. Pancreatic Insulin secretion significantly (P < 0.0001) increased in QE (100mg/kg) group as compared to DC group, also restoration of islets, reduced pancreatic damage with increase in number of β-cells was observed in QE (100mg/kg) group as compared to DC group. The increased number of BrdU positive cells was observed on QE (100mg/kg) administration as compared to DC group. Conclusion: The present study thus confirmed beta cell regeneration using QE.
Keywords: Streptozocin, antibody, diabetes, insulin, MIN6
Diabetes mellitus (DM) is a chronic metabolic disorder, characterized by the presence of persistent hyperglycemia resulting from defects in insulin secretion, insulin action or both. World Health Organization (WHO) indicates that DM is one of the major killers of humans and is affecting 1–5% of the world population (Mohammed et al., 2016). Type 1 diabetes, or insulin-dependent diabetes mellitus (IDDM), is a common pediatric chronic disease, affecting an increasing number of children every year. IDDM occurs due to autoimmune destruction of insulin producing β-cells in the pancreas, resulting in low or no production of insulin, a hormone necessary for survival (Zimmet et al., 2001). Type I diabetes (T1D) patients rely on cumbersome chronic injections of insulin, making the development of alternate durable treatments a priority (Desgraz et al., 2011). Loss of functional beta cells is fundamental in both type 1 and type 2 diabetes (Cnop et al., 2005). Current treatments for diabetes fail to halt the decline in functional β -cell mass; therefore, strategies to prevent β -cell dysfunction and apoptosis are urgently needed (Meier et al., 2005). It is now appreciated that insulin-secreting pancreatic beta-cells have a finite life span and that dying beta-cells are continuously replaced throughout life. Furthermore, insulin-secreting pancreatic beta-cells can further proliferate in response to increasing demand for insulin and after physiological injury. These observations raise the possibility of enhancing the base-line replication of beta-cells as a therapeutic approach for the treatment of patients with type 1 or type 2 diabetes (Cheng et al.,
2015). Much effort has been made to increase β cell mass by stimulating endogenous regeneration of islets. Beta-cell regeneration, therefore, has garnered great interest as an approach to diabetes therapy (Yin et al., 2013). Indeed, β cell regeneration has been shown to occur at a basal rate in normal adult tissues and to increase under conditions of metabolic stress such as pregnancy, obesity, and diabetes (Chen et al., 2004). Search for anti-diabetic agents have been extended to plant-derived products, since fewer side effects have been reported with the use of plants in the treatment of several diseases (El-Kordy and Alshahrani,
2015). Plants are rich sources of antidiabetic, antihyperlipidemic, and antioxidant agents such as flavonoids, gallotannins, amino acids, and other related polyphenols (Ahmed et al., 2010). Flavonoids have the capacity to inhibit enzymes such as cyclooxygenases and protein kinases involved in cell proliferation and apoptosis (Vinayagam and Xu, 2015). Quercetin (QE) is a well-known flavonoid and a strong antioxidant widely existed in red wine, onions, green tea, apples, berries, caper, tomato and lettuce (Maciel et al., 2013). Quercetin has attracted increasing attention due to its antioxidant, anti-obesity, anti-carcinogenic, antiviral properties (Wang et al., 2016). QE prevents streptozocin-induced oxidative stress and protects β-cell against damage in diabetic rats (Youl et al., 2010). Thus, the
present study was undertaken to investigate the role of QE in beta cell regeneration in vitro using MIN6 cell line and in vivo using STZ-induced diabetic rats.
Materials and methods
Chemicals
Quercetin, Streptozocin, 3,3’-Diaminobenzidine tablets, Monoclonal Anti-Insulin Antibody Produced in Mouse (Pk Of 100 UL) # I2018 SIGMA (Clone K36AC10, ascites fluid) was purchased from Sigma, USA. BrdU immunohistochemistry kit, Goat Anti-Mouse IgG Antibody # AP308P ((H+L) HRP conjugate) was purchased from Merck, USA. 5-Bromo-2’-deoxyuridine, Dulbecco’s Modified Eagle’s Medium, Fetal bovine serum, DMSO (Dimethyl sulfoxide were purchased from HiMedia, India. All other chemicals utilized were of analytical grade.
In vitro study
MIN6 cell culture
The MIN6 cell line was maintained in Dulbecco’s Modified Eagle’s Medium (DMEM) containing 25mM (4.5g/L) glucose supplemented with 15% heat-inactivated fetal bovine serum (FBS), 100 units/ml penicillin, 100µg/ml streptomycin, 100µg/ml L-glutamine and 5µl/l of 2-mercaptoethanol in humidified 5% CO2, 95% air at 37ºC. Medium was changed every 48h and cells were passaged once weekly following detachment using trypsin-EDTA (Nakashima et al., 2009).
MTT Assay
Mouse insulinoma (MIN6) cells were cultured in DMEM. Cells were grown at 37ºC in a 5% CO2 humidified atmosphere (Kang et al., 2013). Cells were seeded at 1 × 105 per well in a 96-well plate for viability assay. The media cultured with the cells was changed and MTT solution (5 mg/ml in PBS) 20 μL was added to each well and the plates were further incubated for another 6 h. Supernatants were then discarded and 150 μL of DMSO was added to the each incubation well and mixed thoroughly to dissolve the dark blue crystal formations. The absorbance at 570 NM (formation of formazan) was recorded with a microplate spectrophotometer (Lei et al., 2012).
Experimental Design
Grouping of MIN6 cells (n = 3 wells)
NC (Normal Control): No treatment
DC (Diabetic Control): STZ exposed cells
DQ10 (Diabetic QE): Cells exposed to STZ + QE (10µg/ml)
DMSO (Diabetic DMSO): Cells exposed to STZ + DMSO
CQ10 (Control QE): MIN6 cells exposed to QE (10µg/ml)
STZ-induced MIN6 cell-injury model was adopted to investigate the regenerative effect of QE on β cells. Aliquots of 1 × 105 MIN6 cells were transferred into the wells of 96-well cell culture plate. After 48 h, STZ solution (final concentration 6 mM) was added to the each well of 96-well- plates and the cells were exposed to STZ for 24 h or were kept untreated as normal control. STZ treated cells were further exposed to QE (dissolved in DMSO), with final concentration of 10µg/ml for 24 h or kept untreated as diabetic control. MTT assay as mentioned above was performed at the end of the in vitro study to determine cell viability (Kang et al., 2013; Lei et al., 2012).
In vivo study
Animals
Sixty adult male Wistar rats with body weights of 150–180 g each, were used for the study. The animals were fed on a standard laboratory, food and water ad libitum and were kept under standard conditions of temperature and humidity. The study was conducted in accordance with the CPCSEA guidelines for animal experimentation and was approved by the Institutional Animal Ethics Committee (IAEC -101-15/2016).
Grouping of animals and drug treatment
Rats were classified into 5 groups of 10 rats each
Normal control (NC): Received no treatment.
Diabetic Control (DC): This group included STZ-induced diabetic animals.
DQ25: Diabetic animals received Quercetin 25 mg/kg.
DQ50: Diabetic animals received Quercetin 50 mg/kg.
DQ100: Diabetic animals received Quercetin 100 mg/kg.
QE, was freshly prepared in 25% ethanol and was administered once daily for a month, by gavage. The dose of QE was adjusted weekly, according to the body weight of the rats. Individual drug dosing was done and the volume of ethanol was adjusted according to the proportional 0.001 ml per 1 g of body weight (Vessal et al., 2003).
Induction of diabetes
Type 1 diabetes mellitus was induced by a single intraperitoneal injection of STZ. STZ was dissolved in 0.1 M sodium citrate buffer (pH 4.5) and injected at a dosage of 55 mg/kg. To overcome the expected hypoglycemia, the animals were allowed to drink 5% glucose solution overnight (Mohammed et al., 2015a). Weight was checked before and after STZ injection. One week after STZ injection, diabetes was confirmed by measuring fasting blood glucose levels from the tail vein using Accu-Chek glucometer (Roche; Stuttgart, Germany) (Chandran
et al., 2016). Only animals with fasting plasma glucose level above 200 mg/dl were chosen for the experiment. Treatment of diabetic rats with Quercetin was started 1 week post STZ injection (Sato et al., 2014).
Determination of body weight
Body weights of all rats were measured at the beginning and the end of the study.
Determination of fasting blood glucose
The rats were fasted overnight and blood samples were taken from the tail vein. The blood glucose was determined using glucometer (Rifaai et al., 2012).
Determination of serum insulin
At the end of the study blood was drawn by puncturing retro-orbital plexus under diethyl ether anaesthesia (Chowtivannakul et al., 2016). The blood samples were centrifuged at 3000 RPM for 15 min and serum from each blood sample was separated (Beck et al., 2015). Serum insulin level was measured by using ELISA method.
Histological examinations
After one month of treatment, rats were sacrificed by cervical dislocation technique, the pancreatic tissues were harvested from the animals and were fixed in 10% formalin for 24 h at room temperature, dehydrated, embedded in paraffin and sectioned. Tissue sections were further used for normal histopathology, immunohistochemistry and BrdU cell proliferation assay.
(1) Normal histopathology
Sections stained with hematoxylin and eosin were observed under a microscope for the micro-architectural changes (Saleh et al., 2017).
(2) Immunohistochemistry
Tissue sections were deparaffinised, rehydrated, quenched with 3% H2O2 in methanol for 1 min at room temperature, microwaved for 7 min, trypsinized for 10 min at room temperature, rinsed, and blocked with 2% goat serum. The primary antibody was diluted as: 1:10 anti-insulin and incubated for 1 h at room temperature. Secondary antibody (horseradish peroxidase (HRP) –linked) was incubated for 20 min at room temperature. The secondary antibody was developed in 3, 3′-Diaminobenzidine (DAB) as substrate (Wang et al., 2014).
Morphometry
The measurements were done with the use of Image J associated with a Leica microscope. The area percentage of insulin positive cells were evaluated (Mustafa et al., 2015).
(3) BrdU cell proliferation assay
Rats were given injections of bromodeoxyuridine (BrdU); 50 mg/kg body weight, i.p., one injection every 2 hours until 6 hours. Animals were sacrificed 24 hours after BrdU administration (Marzo et al., 2004). BrdU in tissue sections was detected using the BrdU Immunohistochemistry Kit following the manufacturer’s instructions (Hino et al., 2004).
Statistical analysis
All data were expressed as mean ± SEM. Statistical analysis was carried out using one-way ANOVA followed by Bonferroni post hoc test. The criterion for statistical significance was at a P-value less than 0.05. Data was analyzed using Graph Pad, Prism software, version 5.02.
Results
In vitro
Effect of QE on MIN6 cell viability
MIN6 cells in the DC group displayed significantly reduced cell viability as compared to NC group (P < 0.001). MIN6 cells destroyed by STZ showed significantly (P < 0.001) higher viabilities on administration of QE (10μg/ml). Administration of QE (10μg/mL) to MIN6 cells without STZ did not have any significant effect on cell viability as compared to NC group. Similarly, treatment of STZ damaged cells with DMSO did not have any significant effect as compared to DC group (Figure 1).

Figure 1. Effect of QE on MIN6 cell viability. Shows significantly (P < 0.001) decreased cell viability in the DC group as compared to NC group. DQ10 significantly (P < 0.001) increased cell viability as compared to DC group. No significant effect was observed on cell viability in group CQ10 as compared to NC group and the DMSO group as compared to DC group. ■■■P < 0.001 vs NC group; ***P < 0.001 vs DC group.
In vivo study
Effect of QE on body weight
There was no significant difference in the initial body weights of rats. However, the final body weight of the NC group was significantly higher than that of the DC group. Quercetin administration (25, 50,100 mg/kg) significantly increased body weights as compared to DC group (Table 1).
Table 1. Body weights in control and experimental group
|
Groups
|
Body weight (g) |
|
|
Initial |
Final |
|
|
NC |
192.4± 6.242 |
298.8±4.883 |
|
DC |
200.4±4.4 |
172.2±4.14■■■■ |
|
DQ25 |
208.4±5.046 |
211±5.431**** |
|
DQ50 |
205±4.324 |
219.8±3.625**** |
|
DQ100 |
193.8±6.344 |
214.6±5.644**** |
The data show no significant difference in initial body weights of all groups. Significant (P < 0.0001) decrease in final body weight of the DC group as compared to NC group. Significant increase (P < 0.0001) in body weights of DQ25, DQ50, DQ100 group as compared to DC group. ■■■■ P < 0.0001 vs NC group; **** P < 0.0001, vs DC group.
The effect of QE on fasting blood glucose
The Blood glucose level was significantly (P < 0.0001) increased in the DC group as compared to NC group. Administration of QE (50mg/kg) and QE (100mg/kg) significantly (P < 0.0001) decreased the blood glucose level as compared to DC group. QE (25mg/kg) did not have any significant effect as compared to DC group (Figure 2).

Figure 2. Effect of QE on fasting blood glucose. Blood glucose level significantly increased (P < 0.0001) in the DC group as compared to NC group. Significant blood glucose reduction was observed in DQ50 (P < 0.0001) and DQ100 (P < 0.0001) group; no significant effect was observed in DQ25 group as compared to DC group. ■■■■P < 0.0001 vs NC group; ****P < 0.0001 vs DC group.
Effect of QE on Serum insulin
Serum insulin was significantly (P < 0.0001) decreased in the DC group as compared to NC group. QE administration, 50mg/kg and 100mg/kg significantly elevated serum insulin level (P < 0.001), (P < 0.0001) respectively, as compared to DC group. No significant effect was noted with administration of QE (25mg/kg) as compared to DC group (Figure 3).

Figure 3. Effect of QE on Serum insulin. Shows significantly decreased (P < 0.0001) serum insulin level in the DC group as compared to NC group. Significant increase in serum insulin was observed in DQ50 (P < 0.001) and DQ100 (P < 0.0001) group; no significant effect was observed in DQ25 groups as compared to DC group. ■■■■P < 0.0001 vs NC group; ****P < 0.0001, ***P < 0.001vs DC group.
Effect of QE on histological examinations
Effect on normal histopathology
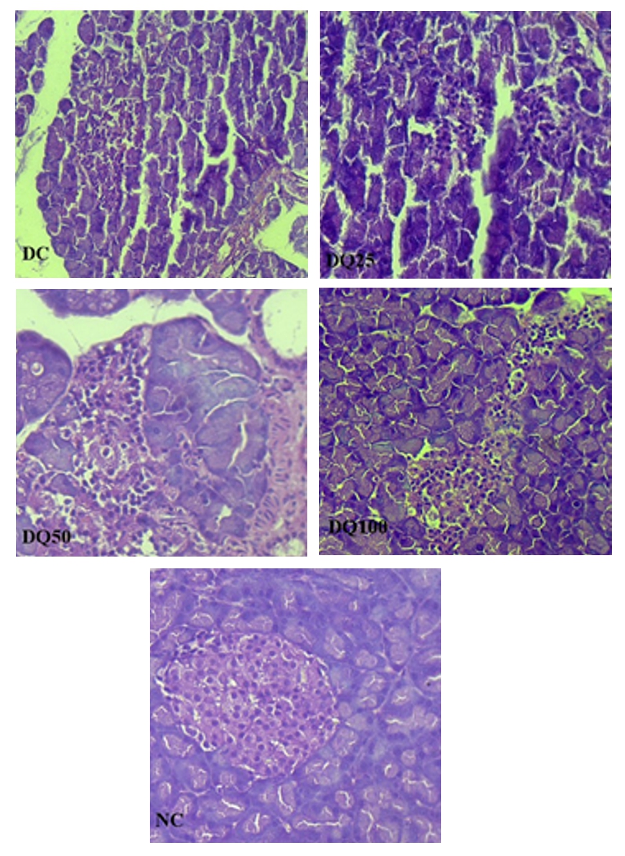
Degeneration of islets, pancreatic damage and reduction in β-cells was observed in the DC group as compared to NC group. Administration of QE (50mg/kg) and QE (100mg/kg) resulted in the regeneration and restoration of islets followed by increased β-cells number and reduced pancreatic damage as compared to DC group. No notable changes were observed in pancreatic tissue sections of DQ25 group as compared to DC group (Figure 4).

Figure 4. Effect on normal histopathology. DC group showed pancreatic damage and reduction in β-cell number as compared to NC group. Regeneration and restoration of islets, with a subsequent increased number of β-cells was observed in DQ50 and DQ100 group as compared to DC group. Significant changes were not observed in pancreatic tissue of DQ25 group as compared to DC group.
Effect on immunohistochemistry
Pancreatic insulin secretion significantly (P < 0.0001) decreased in the DC group as compared to NC group. Administration of QE (100mg/kg) significantly (P < 0.0001) elevated insulin secretion as compared to DC group. QE (25mg/kg & 50mg/kg) did not have any significant effect on insulin secretion as compared to DC group (Table 2 and Figure 5).
Table 2. The area percentage of insulin positive cells
|
Groups |
%Area |
|
DC |
0.6228±0.0675■■■■ |
|
DQ25 |
0.2645±0.0166 |
|
DQ50 |
1.562±0.2437 |
|
DQ100 |
8.007±0.2948**** |
|
NC |
7.681±0.3756 |
The data show significant (P < 0.0001) decrease in a % Area of insulin positive cells in the DC group as compared to NC group. Significant increase (P < 0.0001) in % Area was observed in DQ100 group as compared to DC group. No significant difference in % Area was observed in DQ25 and DQ50 group as compared to DC group. ■■■■ P < 0.0001, vs NC group; **** P < 0.0001, vs DC group.

Figure 5. Effect on immunohistochemistry. Immunohistochemistry staining of insulin (brown). Insulin secretion was significantly (P < 0.0001) decreased in the DC group as compared to NC group. Significant (P < 0.0001) increase in insulin secretion was observed in DQ100 group as compared to DC group. DQ25 and DQ50 group did not have any significant effect on insulin secretion as compared to DC group.
Effect on BrdU cell proliferation assay
The increased number of BrdU positive cells was observed on QE (100mg/kg) administration as compared to the DC group (Figure 6).

Figure 6. Effect on BrdU cell proliferation assay. Figure shows increased number of BrdU positive cells (brown) in DQ100 group as compared to DC group. Arrows indicate BrdU positive cells.
Discussion
Functional β-cell destruction is fundamental in type 1 and type 2 diabetes. The process of beta cell destruction is assumed to be mediated by autoimmunity (Saleh et al., 2017). Oxidative stress is elevated in diabetes mellitus due to an elevation in the production of oxygen free radicals and a deficiency in antioxidant defense mechanisms. Quercetin is considered to be a strong antioxidant due to its ability to scavenge free radicals and bind transition metal ions (Bakhshaeshi et al., 2012), thus was selected as a drug for the present study. Research work was initiated with the in vitro evaluation in which STZ damaged MIN6 cells was utilized. STZ leads to elevated generation of reactive oxygen species (ROS) leading to degeneration and necrosis of β-cells. Administration of QE (10µg/ml) successfully reversed the effect of STZ leading to increased cell viability of STZ damaged MIN6 cells. In vitro study results confirmed earlier reports stating QE as a strong antioxidant (Coskun et al., 2005). Diabetes mellitus is characterized by hyperglycemia, resulting from defects in insulin secretion, insulin action, or both. The chronic hyperglycemia and decreased insulin secretion in diabetes is associated with long-term dysfunction, damage and failure of various organs in the body, particularly the nerves, kidneys, eyes, heart, pancreas itself and blood vessels (Koeslag et al., 2003). Hyperglycemia is also associated with fast depletion of pancreatic insulin stores, temporal changes in β-cell proliferation that culminates in disturbed islet cell (Mello et al., 2015). Groups DQ50 and DQ100 significantly decreased blood glucose levels and significantly elevated serum insulin level in the in vivo study. The Tyrosine kinase inhibitors exert antihyperglycemic effects that can reverse or prevent type I and II diabetes mellitus (Fountas et al., 2015). Our study confirmed the results of earlier reports which state that QE acts as a tyrosine kinase inhibitor to produce anti-diabetic effect (Bentz., 2009). The BrdU proliferation assay was performed to determine beta cell regenerating activity of QE. BrdU is incorporated into the newly synthesized DNA of replicating cells, substituting for thymidine during DNA replication. Antibodies specific for BrdU are then used to identify the incorporated chemical, thus indicating actively DNA replicating cells (Konishi et al., 2011). DQ100 group showed increase in the number of BrdU stained cells elevated pancreatic insulin secretion, thus confirming regeneration of beta cells. Oxidative stress leads to β-cell destruction (Aguirre et al., 2011). QE has been reported to decrease lipid peroxidation, and increase antioxidant enzymes (Coskun, 2005) resulting in a depletion of oxidative damage to cells. Quercetin thus protects cells undergoing oxidative stress and prevents Ca2+dependent cell death (Buko et al., 2016) thus supporting beta cell regeneration. The regeneration processes are induced by replication of pre-existing beta-cells, neogenesis from endogenous progenitors or Tran’s differentiation from differentiated non-beta cells (Guz et al., 2001). Earlier reports state antidiabetic activity of Quercetin by intraperitoneal administration (Ahmed et al., 2010). The protective role of QE against STZ induced oxidative damage has been reported, wherein QE was administered before STZ intraperitoneally (Buko et al., 2016).
Thus the present study confirms antidiabetic activity of QE through beta cell regeneration on oral administration. The in vitro study confirmed recovery of STZ damaged MIN6 cells after QE administration, therefore proving the role of QE in β cell regeneration in vitro as well as in vivo. Quercetin activity was found to be dose dependent, significant effect was observed at the highest dose of 100mg/kg.
Declarations of interest
None
Source of Funding
This research did not receive any specific grant from funding agencies in the public, commercial, or not-for-profit sectors.
Acknowledgements
The authors would like to acknowledge Prof. Navale (Founder STES), Dr. Sawant (Principal SKNCOP), Mr. Umesh Mahajan & Dr. C.R. Patil (R.C. Patel Institute), Dr. Vandana Nikam (SKNCOP), Mr. Ganesh More (Brinton Pharmaceuticals), Dr. Rajendra Shinde, National Centre for Cell Science and Savitribai Phule Pune University for providing necessary facilities to carry out the study.
References
Ahmed AB, Rao AS, Rao MV. 2010. In vitro callus and in vivo leaf extract of Gymnema sylvestre stimulate β-cells regeneration and anti-diabetic activity in Wistar rats. Phytomedicine 17(13):1033-9.
Aguirre L, Arias N, Macarulla MT, Gracia A. 2011. Portillo MP. Beneficial effects of quercetin on obesity and diabetes. Open Nutraceuticals Journal 4:189-98.
Bakhshaeshi M, Khaki A, Fathiazad F, Khaki AA, Ghadamkheir E. 2012. Anti–oxidative role of quercetin derived from Allium cepa on aldehyde oxidase (OX–LDL) and hepatocytes apoptosis in streptozotocin–induced diabetic rat. Asian Pacific Journal of Tropical Biomedicine 2(7):528-31.
Beck A, Shatz-Azoulay H, Vinik Y, Isaac R, Boura-Halfon S, Zick Y. 2015. Nedd4 family interacting protein 1 (Ndfip1) promotes death of pancreatic beta cells. Biochemical and Biophysical Research Communications 465(4):851-6.
Bentz AB. 2009. A review of quercetin: Chemistry, antioxidant properties, and bioavailability. Journal of Young Investigators 19(10).
Buko V, Zavodnik I, Lukivskaya O, Naruta E, Palecz B, Belica-Pacha S, Belonovskaya E, Kranc R, Abakumov V. 2016. Cytoprotection of pancreatic β-cells and hypoglycemic effect of 2-hydroxypropyl-β-cyclodextrin: sertraline complex in alloxan-induced diabetic rats. Chemico-Biological Interactions 244:105-12.
Chandran R, Parimelazhagan T, Shanmugam S, Thankarajan S. 2016. Antidiabetic activity of Syzygium calophyllifolium in Streptozotocin-Nicotinamide induced Type-2 diabetic rats. Biomedicine & Pharmacotherapy 82:547-54.
Chen LB, Jiang XB, Yang L. 2004. Differentiation of rat marrow mesenchymal stem cells into pancreatic islet beta-cells. World Journal of Gastroenterology 10(20):3016.
Cheng Y, Kang H, Shen J, Hao H, Liu J, Guo Y, Mu Y, Han W. 2015. Beta-cell regeneration from vimentin+/MafB+ cells after STZ-induced extreme beta-cell ablation. Scientific Reports 5:11703.
Chowtivannakul P, Srichaikul B, Talubmook C. 2016. Antidiabetic and antioxidant activities of seed extract from Leucaena leucocephala (Lam.) de Wit. Agriculture and Natural Resources 50(5):357-61.
Coskun O, Kanter M, Korkmaz A, Oter S. 2005. Quercetin, a flavonoid antioxidant, prevents and protects streptozotocin-induced oxidative stress and β-cell damage in rat pancreas. Pharmacological Research 51(2):117-23.
Cnop M, Welsh N, Jonas JC, Jörns A, Lenzen S, Eizirik DL. 2005. Mechanisms of pancreatic β-cell death in type 1 and type 2 diabetes: many differences, few similarities. Diabetes 54(2):S97-107.
Desgraz R, Bonal C, Herrera PL. 2011. β-cell regeneration: the pancreatic intrinsic faculty. Trends in Endocrinology & Metabolism 22(1):34-43.
El-Kordy EA, Alshahrani AM. 2015. Effect of genistein, a natural soy isoflavone, on pancreatic β-Cells of streptozotocin-induced diabetic rats: histological and immunohistochemical study. Journal of Microscopy and Ultrastructure. 3(3):108-19.
Fountas A, Diamantopoulos LN, Tsatsoulis A. 2015. Tyrosine kinase inhibitors and diabetes: a novel treatment paradigm. Trends in Endocrinology & Metabolism 26(11):643-56.
Guz Y, Nasir I, Teitelman G. 2001. Regeneration of pancreatic β cells from intra-islet precursor cells in an experimental model of diabetes. Endocrinology 142(11):4956-68.
Hino S, Yamaoka T, Yamashita Y, Yamada T, Hata J, Itakura M. 2004. In vivo proliferation of differentiated pancreatic islet beta cells in transgenic mice expressing mutated cyclin-dependent kinase 4. Diabetologia 47(10):1819-30.
Kang JT, Kwon DK, Park SJ, Kim SJ, Moon JH, Koo OJ, Jang G, Lee BC. 2013. Quercetin improves the in vitro development of porcine oocytes by decreasing reactive oxygen species levels. Journal of Veterinary Science 14(1):15-20.
Koeslag JH, Saunders PT, Terblanche E. 2003. A reappraisal of the blood glucose homeostat which comprehensively explains the type 2 diabetes mellitus–syndrome X complex. The Journal of Physiology 549(2):333-46.
Konishi T, Takeyasu A, Natsume T, Furusawa Y, Hieda K. 2011. Visualization of heavy ion tracks by labeling 3'-OH termini of induced DNA strand breaks. Journal of Radiation Research 52(4):433-40.
Lei H, Han J, Wang Q, Guo S, Sun H, Zhang X. 2012. Effects of sesamin on streptozotocin (STZ)-induced NIT-1 pancreatic β-cell damage. International Journal of Molecular Sciences 13(12):16961-70.
Maciel RM, Costa MM, Martins DB, Franca RT, Schmatz R, Graca DL, Duarte MM, Danesi, CC, Mazzanti CM, Schetinger MR, Paim FC, Palma HE, Abdala FH, Stefanello N, Zimpel CK, Felin DV, Lopes ST. 2013. Antioxidant and anti-inflammatory effects of quercetin in functional and morphological alterations in streptozotocin-induced diabetic rats. Research in Veterinary Science 95(2):389-97.
Marzo N, Mora C, Fabregat ME, Martin J, Usac EF, Franco C, Barbacid M, Gomis R. 2004. Pancreatic islets from cyclin-dependent kinase 4/R24C (Cdk4) knockin mice have significantly increased beta cell mass and are physiologically functional, indicating that Cdk4 is a potential target for pancreatic beta cell mass regeneration in Type 1 diabetes. Diabetologia 47(4):686-94.
Meier JJ, Bhushan A, Butler AE, Rizza RA, Butler PC. 2005. Sustained beta cell apoptosis in patients with long-standing type 1 diabetes: indirect evidence for islet regeneration. Diabetologia 48(11):2221-8.
Mello G, Biagioni S, Ottanelli S, Nardini C, Tredici Z, Serena C, Marchi L, Mecacci F. 2015. Continuous subcutaneous insulin infusion (CSII) versus multiple daily injections (MDI) of rapid-acting insulin analogues and detemir in type 1 diabetic (T1D) pregnant women. The Journal of Maternal-Fetal & Neonatal Medicine 28(3):276-80.
Mohammed A, Koorbanally NA, Islam MS. 2016. Anti-diabetic effect of Xylopia aethiopica (Dunal) A. Rich.(Annonaceae) fruit acetone fraction in a type 2 diabetes model of rats. Journal of Ethnopharmacology 180:131-9.
Mohammed A, Koorbanally NA, Islam MS. 2015. Ethyl acetate fraction of Aframomum melegueta fruit ameliorates pancreatic β-cell dysfunction and major diabetes-related parameters in a type 2 diabetes model of rats. Journal of Ethnopharmacology 175:518-27.
Mustafa HN, El Awdan SA, Hegazy GA, Jaleel GA. 2015. Prophylactic role of coenzyme Q10 and Cynara scolymus L on doxorubicin-induced toxicity in rats: Biochemical and immunohistochemical study. Indian Journal of Pharmacology 47(6):649.
Nakashima K, Kanda Y, Hirokawa Y, Kawasaki F, Matsuki M, Kaku K. 2009. MIN6 is not a pure beta cell line but a mixed cell line with other pancreatic endocrine hormones. Endocrine Journal 56(1):45-53.
Rifaai RA, El-Tahawy NF, Saber EA, Ahmed R. 2012. Effect of quercetin on the endocrine pancreas of the experimentally induced diabetes in male albino rats: a histological and immunohistochemical study. Journal of Diabetes and Metabolism 3(182):2.
Saleh FA, El-Darra N, Raafat K. 2017. Hypoglycemic effects of Prunus cerasus L. pulp and seed extracts on Alloxan-Induced Diabetic Mice with histopathological evaluation. Biomedicine & Pharmacotherapy 88:870-7.
Sato K, Fujita S, Iemitsu M. 2014. Acute administration of diosgenin or dioscorea improves hyperglycemia with increases muscular steroidogenesis in STZ-induced type 1 diabetic rats. The Journal of Steroid Biochemistry and Molecular Biology 143:152-9.
Vessal M, Hemmati M, Vasei M. 2003. Antidiabetic effects of quercetin in streptozocin-induced diabetic rats. Comparative Biochemistry and Physiology Part C: Toxicology & Pharmacology 135(3):357-64.
Vinayagam R, Xu B. 2015. Antidiabetic properties of dietary flavonoids: a cellular mechanism review. Nutrition & Metabolism 12(1):60.
Wang HL, Li CY, Zhang B, Liu YD, Lu BM, Shi Z, An N, Zhao LK, Zhang JJ, Bao JK, Wang Y. 2014. Mangiferin facilitates islet regeneration and β-cell proliferation through upregulation of cell cycle and β-cell regeneration regulators. International Journal of Molecular Sciences 15(5):9016-35.
Wang W, Sun C, Mao L, Ma P, Liu F, Yang J, Gao Y. 2016. The biological activities, chemical stability, metabolism and delivery systems of quercetin: A review. Trends in Food Science & Technology 56:21-38.
Yin H, Park SY, Wang XJ, Misawa R, Grossman EJ, Tao J, Zhong R, Witkowski P, Bell GI, Chong AS. 2013. Enhancing pancreatic Beta-cell regeneration in vivo with pioglitazone and alogliptin. PloS one 8(6):e65777.
Youl E, Bardy G, Magous R, Cros G, Sejalon F, Virsolvy A, Richard S, Quignard JF, Gross R, Petit P, Bataille D. 2010. Quercetin potentiates insulin secretion and protects INS‐1 pancreatic β‐cells against oxidative damage via the ERK1/2 pathway. British Journal of Pharmacology 161(4):799-814.
Zimmet P, Alberti KG, Shaw J. 2001. Global and societal implications of the diabetes epidemic. Nature 414(6865):782.